- Get link
- X
- Other Apps
65 YEAR OLD MALE PATIENT WITH FEVER ,COUGH, SHORTNESS OF BREATH
This is an online E log book to discuss our patient's de-identified health data shared after taking his/her/guardian's signed informed consent.
Here we discuss our individual patient's problems through series of inputs from available global online community of experts with an aim to solve those patient's clinical problems with collective current best evidence based inputs.
This E log book also reflects my patient-centered online learning portfolio and your valuable inputs on the comment box is welcome.
Here is a case i have seen:
65 year old man presented with the complaints of
Reduced urine output since 1 year
Dyspnea since 4 months
Fever since 1 month
Cough since 1 month
Numbness in bilateral lower limbs since 20 days
Bilateral lower limb swelling since 20 days
He has been working as a farmer at Borrayapalem at Nalgonda district. He has 4 children, 3 daughters and one son, the attendant who got the patient to the hospital. He has been an occasional alcoholic since 25 years and was a smoker for around 30 years, used to smoke around 7-10 beedis per day.
He was apparently alright one year back after which he started to notice reduced urine output. He would often feel dyspneic after walking for a short duration since several months. Since 1 month he has been experiencing low grade fever on and off along with cough without expectoration. He also says he has been even more dyspneic over the last one month. He says he has been feeling numbness in both his lower limbs.Bilateral swelling of both his lower limbs also developed gradually extending to his knees. He also tells that there has been slippage of footwear since 1 week. He finally visited a local hospital, where in he was diagnosed with CKD with Heart failure and he received Spironolactone 50mg plus torsemide 20mg. He was even diagnosed to be a hypertensive and diabetic.
On presentation to us,
He was thin built
With pallor and bilateral pedal edema
His PR was 68bpm
BP was 150/100mmhg
A febrile
CVS -
On inspection - Barrel shaped chest was present
BARELL SHAPED CHEST
Locomotor brachialis +
Dancing carotids
Dancing carotids +
no raised jvp -
On palpation - apex beat in 6th ics 2cms away from the MCL , heaving type
On auscultation- muffled S1,S2 +
Respiratory examination -
Supraclavicular indrawing +
Intercostal indrawing +
On percussion -
Dullness + in Bilateral IAA, ISA
Vocal resonance reduced in right ICA,IMA,IAA,ISA
Inspiratory crepts + Bilateral IMA,IAA,ISA
decreased breath sounds+ in ISA
heamogram
CUE
RFT
lipid profile
2D echo:
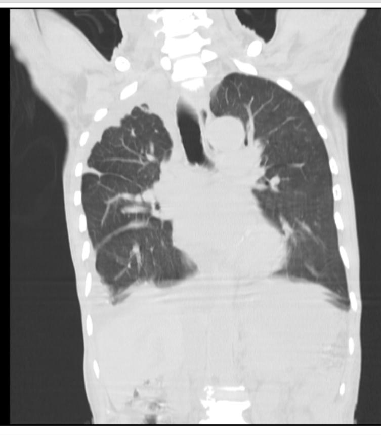
Juxtphrenic sign - small triangular opacity near done of diaphragm due to stretching of inferior accessory fissure or inferior pulmonary ligament
PLBS
TREATMENT::
DAY 1:
1) neb with duolin 6th hrly
budicort 12 th hrly
mucomyst 6th hrly
2) inj augmentin 1.2gm iv bd
3) inj lasix 40 mg iv bd (@8am and 4pm)
4)inu pan 40 mg iv bd
5)inj zofer 4 mg iv sos
6) inj neomal 100 ml iv
7)tab.azithromycin 500 mg po od
8)tab dolo 650mg po sos
9) syp.ascoril 10 ml po tid
10)tab amlong 5 mg od
11)tab. nicardia 10 mg bd
12) tab buscopan po od
13)syp.lactulose 15 ml po hs.
DAY 2::
budicort 12 th hrly
mucomyst 6th hrly
2) inj augmentin 1.2gm iv bd
3) inj lasix 40 mg iv bd (@8am and 4pm)
4)inu pan 40 mg iv bd
5)inj zofer 4 mg iv sos
6) inj neomal 100 ml iv
7)tab.azithromycin 500 mg po od
8)tab dolo 650mg po sos
9) syp.ascoril 10 ml po tid
10)tab amlong 5 mg od
11) tab buscopan po od
12)syp.lactulose 15 ml po hs.
DAY 3:
budicort 12 th hrly
mucomyst 6th hrly
2)inj augmentin 1.2gm iv bd
3) inj lasix 40 mg iv bd (@8am and 4pm)
4)inu pan 40 mg iv bd
5)inj zofer 4 mg iv sos
6) inj neomal 100 ml iv
7)tab.azithromycin 500 mg po od
8)tab dolo 650mg po sos
9) syp.ascoril 10 ml po tid
10)tab amlong 5 mg od
11) tab buscopan po od
12)syp.lactulose 15 ml po hs.
13)Tab .Ecosprine AV 75mg HS
14)Tab.Met XL 25mg po
DAY 4 :
budicort 12 th hrly
mucomyst 6th hrly
2)inj augmentin 1.2gm iv bd
3) inj lasix 40 mg iv bd (@8am and 4pm)
4)inu pan 40 mg iv bd
5)inj zofer 4 mg iv sos
6) inj neomal 100 ml iv
7)tab.azithromycin 500 mg po od
8)tab dolo 650mg po sos
9) syp.ascoril 10 ml po tid
10)tab amlong 5 mg od
11) tab buscopan po od
12)syp.lactulose 15 ml po hs.
13)Tab .Ecosprine AV 75mg HS
14)Tab.Met XL 25mg po
- Get link
- X
- Other Apps


















Comments